
🔴 Легені під контролем — зараз лише 650 грн!
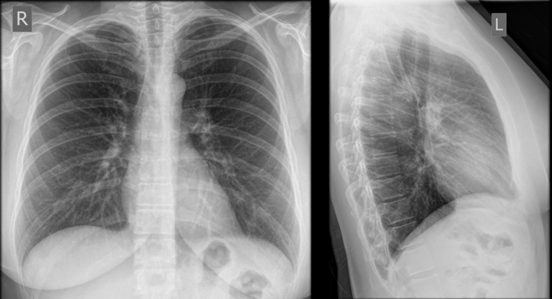
Рентген ОГК в 🔴М24 — всього 650 грн замість 1300 грн.
Це не просто знижка. Це можливість перевірити здоров’я легень швидко, безпечно та за справді вигідною ціною.
Чому пацієнти обирають 🔴М24?
✔ 2 локації в Києві — Печерськ та Почайна, поруч з метро
✔ Сучасні цифрові рентген-системи нового покоління
✔ Мінімальне променеве навантаження
✔ Чіткі зображення з максимальною деталізацією
✔ Досвідчені лікарі-рентгенологи
✔ Зручний графік роботи
✔ Швидкий запис без черг
✔️Плівка стандартного формату або для ВЛК/МСЕК (20х25)
На інші види рентген-обстежень діє знижка до 20%.
Кількість акційних вікон обмежена — уточнюйте наявність у контакт-центрі за тел. (044) 392-33-93
Кому особливо актуально зробити рентгенографію ОГК?
— Для щорічного профілактичного огляду
— Якщо ви палите (регулярний контроль стану легень)
— При тривалому кашлі, застуді, бронхіті
— Після перенесеної пневмонії
— Для контролю ефективності лікування
— Перед госпіталізацією або оперативним втручанням
Навіть якщо нічого не турбує — профілактика завжди дешевша та простіша за лікування.
Не відкладайте турботу про себе❤️
📞 Запишіться вже сьогодні через контакт-центр за тел. (044) 392-33-93 або залиште заявку онлайн.
🔴М24 — сучасна діагностика поруч з вами.
Шановні пацієнти та колеги!
Протягом 60 днів з дати дослідження ви можете замовити:
• запис результатів діагностики на CD/DVD диск або флеш-носій
• друк висновку та плівки у звичайному форматі або у форматі для ВЛК/МСЕК (20 см х 25 см)
• доставку Новою Поштою
Результати дослідження в електронному вигляді, які включають висновок, віртуальну плівку та архів з повним набором зображень з диску, є безкоштовними та надсилаються автоматично на верифікований е-mail.
Термін дії посилання на повний пакет результатів складає 2 роки з дати проведення дослідження. Не забудьте завантажити та зберегти результати своєчасно.


Шановні колеги, партнери та пацієнти!
У період воєнних дій, незважаючи на коливання курсу валют та економіки, зміну вартості розхідників, якість послуг М24 залишається незмінна.
З перших днів війни ми забезпечили експертну медичну діагностику, допомагаємо лікарям та військовослужбовцям 🇺🇦💛🌄💙
Для військовослужбовців діє знижка на всі види послуг.
Дякуємо за довіру та шквал запитів. Ми працюємо мегаінтенсивно, проте бажаючих пройти обстеження дуже багато.
Тому існує черга і ми приймаємо лише за попереднім записом.
*знижка надається при наявності підтверджуючих документів (посвідчення) та направлення від лікаря. Знижки не сумуються.
СЕРВІС ОНЛАЙН ЗАПИСУ
Для комфорту та прискорення процесу запису пацієнтів на обстеження в діагностичних центрах М24 працює сервіс онлайн запису на МРТ та КТ дослідження.
Онлайн-анкета дозволяє відповісти на обов’язкові питання, що стосуються запланованого дослідження, у зручному для вас темпі. Після заповнення анкети вам зателефонує оператор контакт-центру для узгодження дати і часу дослідження.

Відгуки пацієнтів
- 21-03-2026 Відмінний сервіс. Все дуже чітко, швидко. Обладнання сучасне. В заключенні надають лучове навантаження, воно низьке. Є дитячий протокол.
- 20-03-2026 Все чудово, персонал привітний і професійний, високий рівень сервісу, особлива подяка за зручне паркування!
- 20-03-2026 Якщо виникнуть проблеми і потрібно пройти КТ- саме ця процедура була мені потрібна -всім раджу скористуватися саме цим центром М24. Обслуговування 10+: чистота ідеальна,все по розкладу ,без затримок. А саме головне- персонал привітливий, почуваєшся ,начебто поряд близькі люди.Особливою була анестезіолог- заспокоїла, її посмішка прогнала острах перед дослідженням: велике дякую 🙏🫠🤝
- 19-03-2026 ДЯКУЮ ВАМ ЗА ВАШУ ПРАЦЮ!!! Я І Моя Сім’я , проводили Обстеження у Вашій КЛІНІЦІ НЕ Вперше!! ПРОФЕСІЙНО Ввічливо обслуговують відвідуючих !! !Бажаю УСПІХУ і Процвітання ВАШОМУ КОЛЕКТИВУ!! м.Київ ВІРА Марціленко Інв 2 гр 76 років !
- 18-03-2026 Сервіс і кваліфікація на найвищому рівні. Увага до клієнта на кожному кроці відвідування. Щиро вдячні Вам.
Залишити відгук

КТ легень (ОГК)
Комп’ютерна томографія — це сучасний інформативний метод діагностики патологій внутрішніх органів, зокрема органів грудної клітки.
📝Призначення КТ – прерогатива лікуючого лікаря, з урахуванням індивідуальних особливостей та показників пацієнта.
Детальніше про дослідження за посиланнями нижче⬇️
МРТ грудних залоз
МРТ грудних залоз — дослідження, яке проводиться з метою виявлення раку грудної залози та інших патологій. Вам важливо знати про такий вид дослідження, якщо:
- – ви маєте спадковий ризик захворювання на рак
- – потрібен контроль стану грудних залоз та імплантів;
- – необхідна доповнююча діагностика до мамографії чи УЗД.
В центрах М24 МРТ грудної залози виконується на сертифікованому сучасному обладнанні Siemens потужністю 1,5 Tесла.
Дякуємо нашим колегам, пацієнтам та партнерам, ми разом крокуємо до
перемоги!💙💛
